TOMMY B., AGE 58
SUMMARY
Lorem ipsum dolor sit amet, consectetur adipiscing elit, sed do eiusmod tempor incididunt ut labore et dolore magna aliqua. Ut enim ad minim veniam, quis nostrud exercitation ullamco laboris nisi ut aliquip ex ea commodo consequat. Duis aute irure dolor in reprehenderit in voluptate velit esse cillum dolore eu fugiat nulla pariatur. Excepteur sint occaecat cupidatat non proident, sunt in culpa qui officia deserunt mollit anim id est laborum.
CONSULTATION NOTES
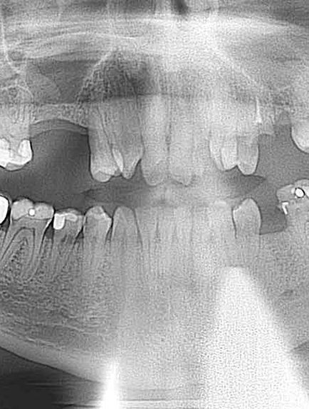
PROGRESS NOTES: 3 on 6 Consult- Pt. on time for apt. Took Pano Pt interested in 3 on 6 for U&L Dr. Roberts examined- Tx- U&L 3 on 6- Pt. has under bite & Dr. Roberts would like to bring the upper jaw forward & the lower jaw back. Nv: 3 on 6 impressions Assisted by Chelsea
MEDICAL HISTORY
pt had appendix removed 3 years ago, pt uses smokeless cigarettes
SPECIAL CONSIDERATIONS
Duis aute irure dolor in reprehenderit in voluptate velit esse cillum dolore eu fugiat nulla pariatur. Excepteur sint occaecat cupidatat non proident, sunt in culpa qui officia deserunt mollit anim id est laborum.
PROCEDURE NOTES
-
PROGRESS NOTES: 3 on 6 Surgery pt present for apt. pt signed consent forms Took Before Pictures
-
Dr.Duckworth was here to place pt under anesthesia.
-
Ext # 31, 30, 29, 28, 27, 26, 25, 24, 22, 21, 18, 14, 12, 11, 10, 9, 8, 7, 6, 5, 2 Implant/BG placement - Upper 3, 6, 7, 10, 11, 14 Lower 19, 21, 22, 26, 27, 30
-
admin 1 tab ibuprofen 800mg had pt rinse w/ chlorhexidine mouth rinse, Dr. Roberts admin
-
10 carpules 2 lidocaine w/ 1:100,000 epi.
-
Admin 2 Carpules of Marcaine
-
extracted tooth number #31, 30, 29, 28, 27, 26, 25, 24, 22, 21, 18, 14, 12, 11, 10, 9, 8, 7, 6, 5, 2
-
Debrided/irrigated w/chlorhexidine.
-
pulled back tissue on #3, 6, 7, 10, 11, 14, 19, 21, 22, 26, 27, 30 expanded holes using Neodent replace tapered system Neodent
-
implants Reference #: 2x 140.629 2x 140.684 2x 140.690 1x 140.683 1x 140.688 1x 140.627 3.5x8mm ref-
-
140683-lot-8003271541 4.3x10 mm, ref-140-688-lot-8002391211 Healing abutment #: 2 mm
-
used torque wrench to 35.
-
placed bone grafting material mineralized cortical/cancellous cadaver bone (5.0cc cadavar bone )
-
Reference number #03-1550221 added bone to facial of #10 placed silk sutures.
-
Went over post op instructions with pt wife Rx- Norco 7.5 amoxicillin 500 mg ibuprophen 800mg Chlorhexidine Mouth Rinse .12 (Took paper Rx)
-
Lab Delivered Denture
-
Took CT Scan Nv- Post op (one week) Assisted by Bree and Nermina
FOLLOW UP
Duis aute irure dolor in reprehenderit in voluptate velit esse cillum dolore eu fugiat nulla pariatur. Excepteur sint occaecat cupidatat non proident, sunt in culpa qui officia deserunt mollit anim id est laborum.




